Gallery
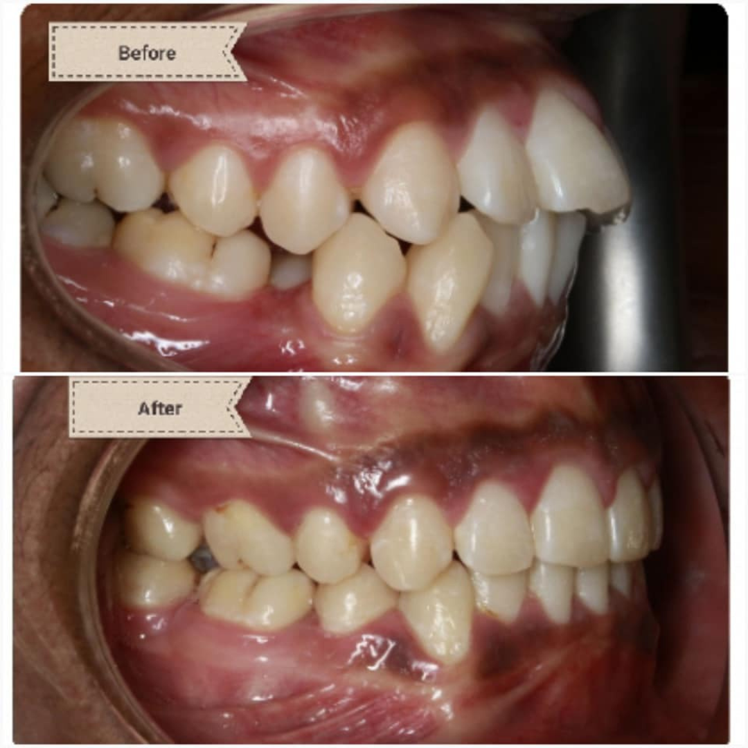
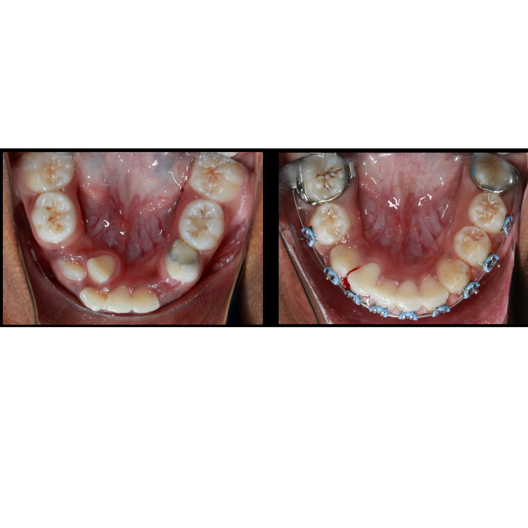
Before And After
Happy Clients
Visit Us